O linfoma é uma doença de caráter maligno que acomete os linfonodos (gânglios), e se estende para outros órgãos como baço, fígado, pulmões e rins. Animais a partir de 7 anos de idade são os mais afetados. A forma mais comum do linfoma se inicia por um aumento dos gânglios, principalmente aqueles localizados abaixo da mandíbula.
Perda de peso e diminuição do apetite também podem ser notados. Com a progressão da doença, todos os outros gânglios, internos ou periféricos, são afetados e ficam bastante aumentados, podendo causar incômodo para o animal. Outras formas da doença, menos comuns, aparecem com sinais digestivos (vômito e diarréia), respiratórios (quando há metástase pulmonar) ou cutâneos.
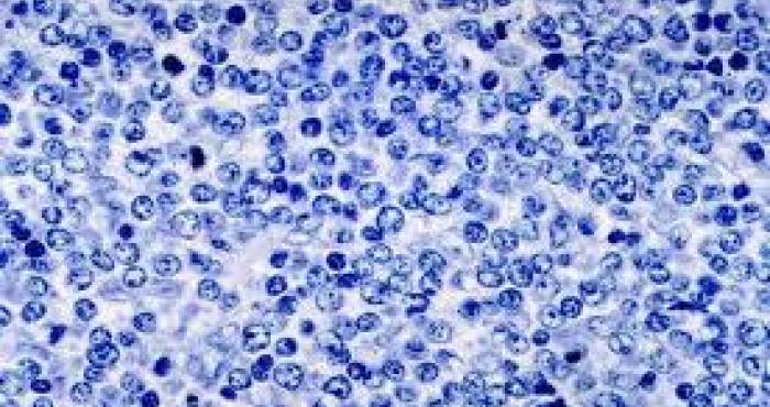
O linfoma é um tumor maligno, mas pode ser tratado visando o prolongamento da vida do animal. Não existe cura. O diagnóstico é feito através do exame clínico, análises dos gânglios (biópsia ou citologia por aspiração), ultra-sonografia, raio-X e exames laboratoriais.
O tratamento usado é a quimioterapia e a radioterapia, mas esta última ainda não está disponível no Brasil para uso em animais. A associação de várias drogas irá promover, em muitos casos, a diminuição dos gânglios e melhora no estado geral do animal. Porém, todos esses medicamentos, além de matar as células do tumor, atingem outras células que se proliferam rapidamente como as células sanguíneas e de defesa (glóbulos brancos). Com isso, o animal poderá ter anemia e baixíssima resistência durante o tratamento com quimioterapia. Por esse motivo, o animal que está fazendo quimioterapia deve ser monitorado com exames de sangue frequentes, o que torna o tratamento caro. As drogas também podem causar efeitos colaterais como diarréias e vômitos. A expectativa de vida de um animal com linfoma é muito variável.
Se não for tratado, o cão não resistirá mais do que 6 ou 8 semanas. Com a quimioterapia, o animal poderá ter uma sobrevida bem mais longa, variando de 2 meses até 2 anos. Apesar de todo o tratamento, com o passar do tempo o tumor irá se tornar resistente às drogas, o cão voltará a ter os sintomas e irá a óbito em decorrência da doença. Infelizmente, não há prevenção para o linfoma.
Devemos tratar o animal até o momento em que a doença ou o próprio tratamento cause danos ao organismo incompatíveis com a vida e que levem o cão ao sofrimento. Só nesse momento o sacrifício é indicado.
Veja também:
Tumores: noções gerais
Câncer
Tratamento do câncer

Silvia C. Parisi
médica veterinária - (CRMV SP 5532)
Fonte: (webanimal.com.br)