O eletrocardiograma é a representação gráfica da atividade elétrica do coração. Com este exame, podemos detectar alterações cardíacas como aumento de câmaras cardíacas, alterações de eletrólitos (cálcio e potássio) e, principalmente, arritmias.
Este exame é realizado em ambulatório, não havendo necessidade de qualquer tipo de sedação. É exigida apenas a contenção do paciente na posição apropriada para o exame. As arritmias são os alvos principais deste tipo de exame e variam desde as mais brandas como as arritmias sinusias (que são consideradas fisiológicas) até fibrilações ventriculares, que são consideradas como risco de morte iminente.
O eletrocardiograma faz parte de exames de check-up, especialmente em animais idosos, mas também é realizado em alguns pacientes antes de procedimentos que necessitem sedação e principalmente, procedimentos que envolvam anestesia geral.

Pode ocorrer a detecção de anormalidades cardíacas no eletrocardiograma sem que estas sejam percebidas no exame clínico de rotina. Isto nos permite protelar procedimentos que envolvam anestesia geral (para realizar um tratamento prévio) ou mesmo cancelar procedimentos se estes forem considerados de risco para o paciente em questão. O eletrocardiograma muitas vezes detecta precocemente alterações não percebidas na avaliação clínica.
Desta forma, nos permite iniciar a terapia antes mesmo das primeiras manifestações da doença, e assim, levar aos nossos pacientes uma qualidade de vida melhor.
Dra. Simone Berndt Nunes CRMV-Pr/ 277
Cardiologia e Ecocardiografia
Importância das doenças cardíacas em cães e gatos:
As doenças cardíacas (cardiopatias) são bem comuns em cães e gatos, principalmente em cães mais velhos. Os sintomas no cão incluem tosse alta (parece engasgo), cansaço, falta de ar, emagrecimento, barriga-d’água (ascite), inchaço das patas traseiras e desmaios e, no gato, falta de ar e dificuldade para andar com as patas traseiras. À auscultação, eles podem apresentar sopro e/ou alterações no ritmo dos batimentos (arritmias) e alteração nos sons pulmonares (crepitações). Muitas vezes os animais ainda não apresentam sintomas, mas tem alterações na auscultação (principalmente sopro) que, quando detectadas, deve-se investigar a causa, realizando a ecocardiografia (ultrassom cardíaco).
Cardiopatias adquiridas em cães:
As doenças cardíacas mais comuns nos cães são:
Doença na válvula mitral - Endocardiose de Mitral (envelhecimento e fibrose da válvula mitral) que acomete cães idosos de pequeno porte como o poodle, dachshund, pinscher, lhasa apso e o maltês. Doença no músculo cardíaco - Cardiomiopatia dilatada, que causa enfraquecimento da contratilidade da musculatura cardíaca, sendo comum em cães de grande porte, adultos jovens a idosos, como o boxer, doberman, dogue alemão, labrador e o são bernardo. Os cães cardiopatas podem apresentar sintomas como tosse alta, cansaço fácil, emagrecimento, falta de ar (edema pulmonar), barriga-d’água (ascite) e desmaios (síncope).
Cardiopatias adquiridas em gatos:
A cardiopatia mais comum nos gatos é a cardiomiopatia hipertrófica, em que há um espessamento da parede dos ventrículos. Eles podem apresentar falta de ar e dificuldade para respirar (edema pulmonar/efusão pleural) ou um quadro de incoordenação ou paralisia das patas traseiras, com muita dor nesses membros (tromboembolismo).
Cardiopatias congênitas em cães e gatos:
As doenças congênitas são alterações cardíacas em que o animal já nasce com um defeito no coração. Alguns exemplos seriam a Persistência do ducto arterioso (PDA), Estenose subaórtica, Estenose Pulmonar e a Comunicação interventricular. Os sintomas podem ser cansaço fácil, tosse, língua roxa (cianose), crescimento retardado, falta de ar e desmaios. No exame clínico, a maioria dos animais apresenta sopro na auscultação. Se o filhote tiver um sopro, deve-se realizar a ecocardiografia para detectar qual é a cardiopatia congênita.
O quê é a ecocardiografia e quais suas indicações?
A ecocardiografia é o ultrassom do coração. Está indicado para diagnosticar e avaliar a severidade das doenças cardíacas em cães e gatos.
Quais informações é possível obter no exame ecocardiográfico? Podemos observar o tamanho das câmaras cardíacas, força de contração do músculo cardíaco, movimento e função das válvulas, direção e velocidade do sangue dentro do coração (através do doppler), detectar neoplasias (câncer) e acúmulo de líquido ao redor do coração (efusão pericárdica). Além disso, pode-se diagnosticar defeitos cardíacos congênitos (alterações presentes ao nascimento) e doenças adquiridas (doenças valvulares, cardiomiopatias), bem como avaliar a severidade das mesmas. A ecocardiografia é utilizada juntamente com outros exames complementares (como a radiografia torácica e a eletrocardiografia), sendo que um exame não substitui o outro.
O que é necessário para o exame?
Realiza-se tosa no tórax (tricotomia), na região axilar, pois a presença do pelo impossibilita a realização da imagem. O animal é deitado de lado e o exame leva de 20 a 60 minutos. A sedação do animal raramente é necessária. Para o exame, porém, o animal não pode estar com falta de ar (dispneia), pois ele não conseguirá ficar deitado, devendo ser tratado previamente para que a respiração se normalize. Portanto, a ecocardiografia não é um exame emergencial e deve ser realizado somente quando o animal estiver compensado.
Como solicitar o exame?
O exame deve ser previamente agendado na Clinivet e o veterinário solicitante deve enviar uma requisição do exame com a suspeita e, após o mesmo, será confeccionado o laudo com o diagnóstico e as fotos impressas.


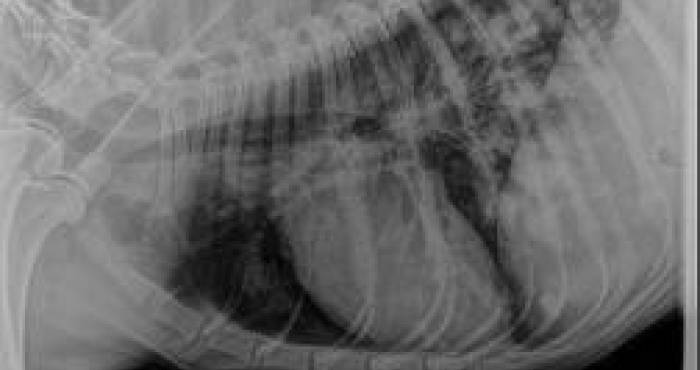
Imagens de cão boxer magro com ascite, com cardiomiopatia dilatada.

Imagem ecocardiográfica mostrando regurgitação mitral (colorido) para o átrio esquerdo, devido à endocardiose de mitral.

Imagem ecocardiográfica mostrando efusão pericárdica (escuro) e tumor(massa) em região de átrio direito (hemangiossarcoma).
Dra. Ana Paula Sarraff Lopes
Fonte: (clinivet.com.br)